虫歯とは、虫歯を作る細菌が、甘いものを原料にして、酸を作り、歯を溶かして穴を開けたものです。
穴の大きさによって、C1~C4まで4段階に分けられます。
それぞれの段階に応じて、治療の仕方が異なります。
C1の治療
歯の一番外側のエナメル質に穴が開いたものです。ほとんどの歯は削らないでフッ素塗布をし、様子を見ます。C1でもはっきりと穴が開いたものについては、悪いところだけ削って、詰め物をします。
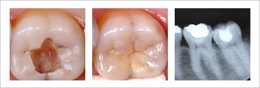
C2の治療
歯のエナメル質を通過して、中間層の象牙質まで穴が開いたものです。この段階でも、はじめのうちは、痛みを感じません。しかし、進むにつれて、まず冷水痛やチョコレートなどの甘いもので痛みを感じるようになります。虫歯は徐々に進行しますから、痛みを感じなくなったからといって、放置するのはきわめて危険です。
この段階での治療は、大きく2つのパターンに分けられます。

C3の治療
痛みは強くなり、何もしなくてもヅキヅキ痛むようになります。虫歯による穴は、中間層の象牙質を通過して、最も内側の歯髄に達します。
この段階での歯の治療は、歯の最も内側にある神経を取る治療になります。根っこの治療と呼ばれるのがこれです。この治療のポイントは、根っこの中を完全に無菌状態にすること・二度と細菌が入ってこないように完全に封鎖することの二点です。
しかしながら根っこの中は直接見ることができず完全に細菌を取り除くことが非常に難しいです。細菌を取り残した状態だと、後々細菌が増殖してトラブルが出てきてしまうこともあります。この場合、ほとんどのケースで被せものを作り直さなければならず、最悪の場合は抜歯になってしまうこともあります。
C4の治療
虫歯による穴がとても大きくなり、歯の根だけが残っています。
ほとんどの場合は抜歯することになります。
私たちが歯を失う一番の原因は、実は歯周病です。
しかも知らない間に進行し、気付いたときは手遅れで、一度に何本も抜けることが多く被害は甚大です。歯の表面には、食事のたびにネバネバした薄い膜状のものが作られますが、これが歯垢(プラーク)と呼ばれる細菌の塊です。歯垢は石灰化すると硬い歯石になり、自分では取り除くことができません。歯垢1ミリグラムには、細菌が1億個もいるといわれ、これが歯肉に炎症を起こし、最後は歯を支える歯槽骨まで溶かしてしまいます。支えを失った歯は、まとまって抜け落ちてしまいます。
![]() |
![]() |
■初期歯の表面に少し歯垢や歯石がついています、自覚症状はありません。 |
![]() |
![]() |
■歯肉炎歯と歯の間の歯肉が赤く腫れぷよぷよします。歯磨きをすると出血します。 |
![]() |
![]() |
■中等程度歯の周囲の歯肉は赤く腫れます。 |
![]() |
![]() |
■重度歯肉は化膿し、腫れています。 |
歯周病の症状チェック
| 1:歯磨きなどで歯茎(歯肉)から出血する | 歯周病の典型的な症状が歯茎(歯肉)から出血することです。歯磨きしたときに歯ブラシに血が付いていたり、硬いものを噛んだときなどに食べ物に血が付いた、または歯茎から出血していたら要注意です! |
|---|---|
| 2:口臭がするようになった | 口臭があるからといって歯周病とは限りませんが、ある日から口臭がきつくなったような場合は歯周病、または他の病気の可能性があります。 |
| 3:口の中がネバネバする | 歯周病菌が唾液の中に多く含まれていると「ネバネバ」としますので、特に朝起床時に口の中がネバネバしたり、何か気持ち悪い場合は歯周病の可能性があります。 |
| 4:歯茎(歯肉)が腫れている | 歯茎(歯肉)が腫れたり、ブヨブヨ柔らかくなっているのも歯周病の典型的な症状です。 |
| 5:歯茎(歯肉)が赤、紫色になった | 健康的な人の歯茎(歯肉)はピンク色をしていますが、歯周病になると歯茎(歯肉)が赤色になり、さらに症状が進行すると赤紫と、徐々に歯茎(歯肉)の色が濃くなってくるのが特徴です。 |
| 6:歯茎などから膿(うみ)が出る | 歯茎(歯肉)から出血すると歯周病の大きなサインですが、さらに症状が進行すると膿が溜まり、痛みを伴うようになります。 |
| 7:硬いものを噛むと痛い | 歯周病になると歯を支えている周辺組織が侵されますので、おせんべい、リンゴなど硬い物を噛むと歯周組織が歯を支える事ができなくなるため、痛みを生じる事があります。 |
| 8:歯がグラグラする | 歯を指で軽くつかんで上下左右に軽く揺さぶってみて、明らかに歯がグラグラしていたり、舌で歯を動かす事が出来るような状態は歯周病の危険信号です! |
| 9:歯茎が下がって歯が長く見える (出っ歯になった) |
歯周病になると歯周組織が侵され、歯肉が後退して行きますので歯が長くなったり、昔よりも出っ歯になった気がすることがあります。 |
| 10:歯と歯の間の隙間が大きくなり、 物が挟まりやすくなった |
歯と歯の隙間が大きくなるため物が挟まりやすくなったり、歯並びが悪くなってきたり、歯が浮いた感じがしたり、噛み合わせが悪くなる事があります。 |
| 11:歯茎(歯肉)がムズ痒い | 歯周病になると常に歯茎(歯肉)がムズ痒かったり、痛みが生じる事があります。 |
| 12:糖尿病にかかっている | 糖尿病になるとさまざまな合併症が起こりますが、糖尿病の方の多くは歯周病になっているというデータもありますので、糖尿病の方は歯周病も疑ったほうが良いかもしれません |
上記のような症状があったからといって必ずしも歯周病とは限りませんが、
その可能性は非常に高いと思いますので、いずれにしても歯医者さんに行き、歯周病であれば
早め早めに治療をしていく事が何よりも大切です。
Copyright © hiro dental clinic. All right reserved.


















